Inicio Quienes Somos Servicios Galeria Contacto
 
¿Qué es un marcapasos?


Un marcapaso o marcapasos, es un dispositivo electrónico diseñado para producir impulsos eléctricos con el objeto de estimular el corazón (generar contracciones cardiacas) cuando falla la estimulación normal.

Consta de varias partes, un electrodo o cable conductor y un generador de impulsos o marcapasos propiamente dicho, para que cuando estos impulsos, generados en el "generador o marcapasos" sean transmitidos a través del cable conductor al corazón para generar una contracción cardiaca.

Los marcapasos, en general, están indicados para trastornos del ritmo cardiaco con disminución anormal de la frecuencia cardiaca (corazón lento).

Dependiendo del tipo de enfermedad de cada paciente se implantan uno o dos cables adentro del corazón.

¿Cómo se implanta un marcapasos?

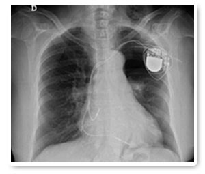
Se realiza una pequeña incisión debajo de la clavícula izquierda o derecha y se introduce el cable a través de una vena cercana hasta la aurícula derecha y/o el ventrículo derecho (dependiendo del tipo de trastorno que se esté tratando. Posteriormente, cuando el cable esté en el lugar adecuado (se confirma mediante rayos X), se conecta al marcapasos y este queda alojado debajo de la piel. El procedimiento finaliza suturando la piel.

¿Cómo seguir la vida con un marcapasos?

Posterior al implante de un marcapasos, el paciente debe guardar reposo relativo, es decir , podrá realizar sus actividades cotidianas, con la inmovilización del hombro del lado donde haya sido colocado el marcapaso durante 5 – 7 días. Posteriormente el paciente puede empezar a movilizar el hombro y regresar a sus actividades cotidianas. Existen muchas dudas en torno a los marcapasos y cietos aparatos electrónicos y estilo de vida.

• Sí puede: utilizar aparatos de rayos X, controles remotos de televisión, hornos de microondas, detectores de metales, radios de aficionados, rasuradoras eléctricas y cobijas eléctricas. También se puede conducir, mantener relaciones sexuales y utilizar teléfonos celulares (se recomienda alejarlo 15 cm del marcapasos). Con un marcapasos es posible practicar deportes de forma moderada, incluso natación, viajar, y no hay restricciones dietéticas (salvo si el paciente padece diabetes mellitus, hipertensión arterial o colesterol elevado).

• No puede: manipular equipos pesados, motores con imanes potentes, taladradoras eléctricas. Tampoco está permitido utilizar equipos para soldar. Ocurre igual con el uso de máquinas de resonancia magnética, máquinas de radioterapia para el tratamiento del cáncer y máquinas eléctricas que no tengan toma de tierra. Si viaja en avión, debe advertir en el control de equipajes que viaja con marcapaso.

Seguimiento del marcapaso

Una vez implantado el marcapaso, y haber cumplido con el proceso de "maduración de los cables" deben reestablecerse algunos parámetros de estimulación, con el objeto de optimizar la estimulación cardiaca y salvar la batería lo mas posible. En la actualidad – dependiendo de varios factores – los marcapasos tienen una longevidad de 6 a 11 años.

La primera revisión, así como las revisiones posteriores (de menos una vez al año) deben realizarse con la compañía comercial de la marca del marcapaso, por eso siempre – y por cualquier eventualidad - se debe conocer la marca de su aparato.

Se usa una computadora especial, que nos dará la información mas fidedigna, ya que los electrocardiogramas y las radiografías sólo son partes complementarias de la revisión. Se realiza colocando un cabezal sobre el aparato, lo cual no genera ninguna molestia, y se acelera el corazón de manera transitoria para realizar las mediciones pertinentes.



 
Inicio | Quiénes Somos | Servicios | Galería | Contácto | Mapa del Sitio
Manzanillo No. 100 interior 603 Col. Roma Sur México DF. CP 06700 Delegación Cuauhtémoc. Teléfonos: 55841900, 14509343, 14509344
Todos los derechos reservados © 2014 | Políticas de Privacidad